Waters Family Dentistry
A Great Dentist
Cosmetic Dentistry
Your Dream Smile Starts Here

Do you have stained, chipped, or crooked teeth? Cosmetic dentistry in Anderson, SC, may be exactly what you need!

Cosmetic Dentistry | Dentist
Ready to Discover Your Best Smile?
Contact Us

Cosmetic Dentist in Anderson, SC

group of girls having selfieEveryone deserves to feel confident when they smile. That’s why we’re proud to offer cosmetic dentistry in Anderson, SC, designed to enhance the appearance of your smile and boost your self-esteem. If you have discolored teeth, gaps, crooked teeth, or any other concerns about your smile, Dr. Waters and our team are here to help your dreams come to life. 

What Is Cosmetic Dentistry?

Cosmetic dentistry is for enhancing or altering the appearance of one's teeth, gums, and overall smile. This type of dentistry can fix many issues, from discoloration and misalignment to chipped or missing teeth. However, our personalized cosmetic dentistry treatments can improve your oral health function and overall oral health, too! 

5 Benefits of Cosmetic Dentistry in Anderson, SC

Cosmetic dentistry is more than transforming the appearance of your teeth. It can also boost your confidence, enhance your professional life, and improve your oral health. Here are five benefits of cosmetic dentistry in Anderson, SC.

Boosts Your Confidence

A beautiful smile can do wonders for your self-esteem. Cosmetic dentistry can fix a chipped tooth or brighten your smile with whitening treatments, ultimately helping you feel more confident and comfortable showing off your pearly whites.

Corrects Smile Imperfections

Cosmetic dentistry can correct a variety of imperfections, from gaps and crooked teeth to discoloration or cracks. Treatments like veneers, dental bonding, and SureSmile® clear aligners can give you a smooth, even smile that looks and feels naturally beautiful.

Enhances Overall Appearance

Your smile is often the first thing people notice, and cosmetic dentistry can enhance the harmony of your face. A well-balanced smile can give you a more youthful, vibrant appearance so you'll look and feel more refreshed.

Improves Oral Function

If you’ve been struggling with chewing or speaking due to damaged or missing teeth, cosmetic treatments—like dental crowns, bridges, or dental implants—can help you get back to eating your favorite foods and speaking clearly.

Long-Term Benefits

Many cosmetic procedures are highly durable. Investing in cosmetic dentistry can give you long-lasting results that improve your smile and quality of life for years to come. Plus, healthier teeth often mean fewer dental problems later on!

Frequently Asked Questions

The most popular cosmetic dentistry procedures in Anderson, SC, include teeth whitening, dental veneers, dental bonding, clear aligners, and crowns. Each treatment addresses different smile concerns and offers unique benefits.

Teeth Whitening

Teeth whitening is the most requested cosmetic treatment, brightening smiles dulled by coffee, aging, or lifestyle habits. At Waters Family Dentistry, we offer take-home whitening kits that deliver professional results in the comfort of your home.

Veneers

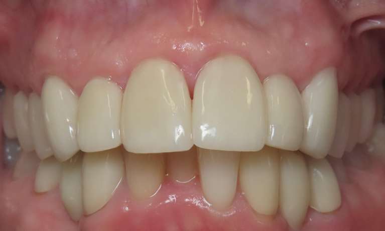
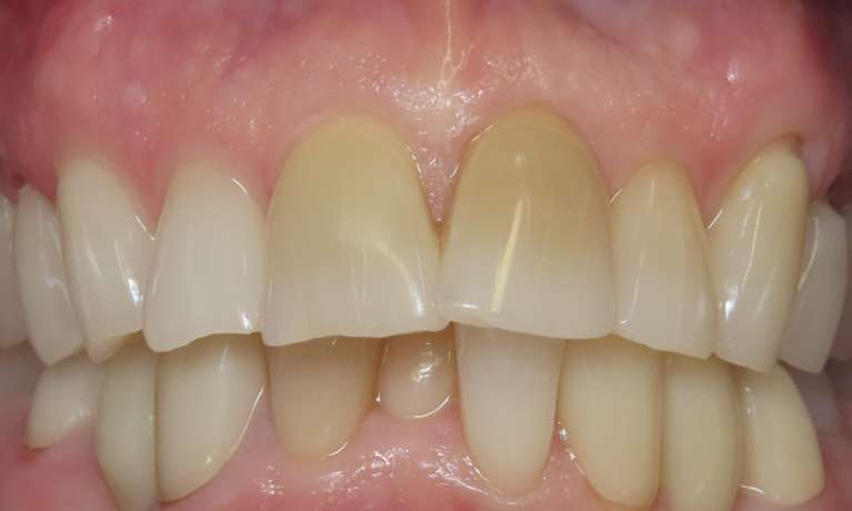
Dental veneers are thin porcelain shells that cover the front of teeth to correct chips, cracks, gaps, or discoloration. They're perfect for achieving a flawless smile with natural-looking results.

Dental Bonding

Dental bonding involves using tooth-colored resin to quickly repair minor imperfections like small chips, cracks, or gaps. It's often completed in a single visit and provides an affordable way to enhance your smile.

Teeth Straightening

SureSmile® clear aligners straighten teeth discreetly, without traditional braces, making them popular for adults wanting to improve their smile alignment.

Crowns and Bridges

Crowns and bridges serve dual purposes, restoring damaged teeth while enhancing aesthetics. They're ideal when teeth need both functional and cosmetic improvement.

Cosmetic Dentistry in Anderson, SC

During your consultation at Waters Family Dentistry in  Anderson, SC, Dr. Waters will evaluate your oral health, discuss your aesthetic dreams, and recommend treatments that align with your lifestyle and timeline. Schedule your consultation today and take the first step toward your ideal smile.

 

 

Cosmetic dentistry’s primary objective is to enhance the visual appeal of a person's smile and the integrity of their bite. In doing this, cosmetic dentistry addresses a wide range of issues, namely:

  • Stains and discoloration from years of staining foods and beverages
  • Misshapen or irregularly spaced teeth
  • Visible cracks, chips, and enamel wear
  • Dental misalignment

Common Cosmetic Dentistry Treatments

Minimally invasive cosmetic dentistry delivers a dramatic aesthetic and functional impact with minimal discomfort and downtime. These treatments include:

  • Professional teeth whitening, to remove stubborn stains and discoloration.
  • Dental bonding, which uses tooth-colored resin to repair imperfections.
  • Thin porcelain overlays, or dental veneers, that cover dental imperfections without damaging natural tooth structure.
  • Dental bridges, consisting of dental prosthetics anchored to adjacent teeth after tooth loss, to “bridge gaps.”
  • Clear aligner orthodontic systems like SureSmile®, which use sets of mouthpiece-like aligners to gradually, comfortably, and discreetly straighten teeth.
  • Tooth-colored fillings, made from quartz, silica, or ceramic, blend seamlessly with natural teeth and are extremely popular for minor chips, cracks, and cavities.

Seamless Smile Restoration with Cosmetic Dentistry in Anderson, SC

If you're in the Anderson area looking for a top-quality dental team with expertise to meet all of your cosmetic dentistry needs and elevate your smile to its radiant best, contact dentist Dr. John Waters and the excellent Waters Family Dentistry team to schedule a consultation!

Determining the best cosmetic dentistry option depends on your specific dental concerns, goals, budget, and overall oral health. Every patient's situation is unique, and what works well for one person may not be the ideal solution for another.

Common cosmetic dentistry options include teeth whitening for discoloration, dental veneers for improving the appearance of front teeth, dental bonding for minor repairs, crowns for severely damaged teeth, and orthodontic treatments like braces or clear aligners for alignment issues. Each treatment offers different benefits and varies in terms of cost, durability, and treatment time.

The best way to determine which cosmetic dental procedure is right for you is to schedule a consultation with a qualified cosmetic dentist. During this appointment, they will evaluate your oral health, discuss your aesthetic goals, and consider factors such as your lifestyle, timeline, and budget. They can also show you before-and-after photos of similar cases and explain the pros and cons of each option.

Call Our Cosmetic Dentist in Anderson, SC

Your dentist will also need to make sure your teeth and gums are healthy before moving forward with any cosmetic treatment. Some patients may need to address underlying dental issues, such as cavities or gum disease, before pursuing cosmetic procedures. The final treatment plan should align with both your aesthetic goals and overall dental health needs.

Where Beauty Meets Dentistry

woman holding clear alignersAt Waters Family Dentistry, we offer a variety of cosmetic treatments to help you achieve your dream smile:

  • Teeth Whitening — If your smile looks dull due to aging, coffee, or other stain-causing habits, our teeth whitening treatments can brighten your smile. We offer two options of take-home kits, and we’ll help you achieve a radiant smile you’ll love to show off.
  • Veneers Veneers are thin shells of porcelain that are placed over the front of your teeth to correct imperfections like chips, cracks, or discoloration. They’re an excellent option for achieving a flawless smile and are custom-made to match your natural tooth color for a seamless look.
  • Dental Bonding — With dental bonding, we can quickly fix cracks, chips, and gaps between teeth using tooth-colored resin. 
  • SureSmile® Clear Aligners — If you’re looking for a straighter smile without the hassle of traditional braces, SureSmile clear aligners may be just what you need. These virtually invisible aligners gently shift your teeth into place, offering a comfortable and discreet way to achieve a perfect smile.
  • Crowns and Bridges — For damaged or missing teeth, crowns and bridges offer restorative and cosmetic benefits. Dental crowns can cover damaged or decayed teeth, while bridges can replace missing teeth, which restores your smile’s functionality and appearance.

Your Smile, Your Way: Tailored Cosmetic Dentistry in Anderson, SC

At Waters Family Dentistry, we understand that everyone’s smile is unique. We take a personalized approach to each treatment to exceed your expectations and meet your goals. We use the latest technology and materials to provide long-lasting, natural-looking results. Our team is dedicated to helping you feel confident about your smile, and we’re committed to making your dental experience as comfortable and stress-free as possible.

Meet Our Dentist:

Dr. John Waters
Dentist

Raised in Iva, SC, Dr. Waters grew up in Anderson County and graduated from Crescent High School. From there, he went to Clemson University and graduated with honors with a BS in civil engineering. After working for a few years as an engineer, he decided to make a career change to help others on a more personal level. After much thought and mentoring from his childhood dentist, he decided that dentistry was the career he was looking for.

Dr. Waters then attended MUSC’s College of Dental Medicine, where he was inducted into the National Dental Honor ...

Ready to Transform Your Smile? Call Us Today!

If you’re ready to enhance your smile and boost your confidence, why not try cosmetic dentistry? Our highly experienced team of experts will work with you to explore your cosmetic options and help you achieve the smile you’ve always wanted. Let us show you the difference a beautiful, healthy smile can make in your life! 

Call us at (864) 226-6278 to book your consultation with Dr. Waters. 

Smile with Confidence, Shine with Beauty
Contact Us
If you have difficulty using our website, please email us or call us at (864) 226-6278
View the ADA Accessibility Statement