Skip to main content
Now Accepting New Patients at Our New Address
514 Reed Road, Anderson, SC 29621
Dental Implants
Permanent Tooth Replacement & Restoration

Dental implants are the gold standard for tooth replacements because they're the closest one can get to natural teeth in appearance, function, and comfort. Ready to get started?

Dental Implants | Dentist
Struggle with Dentures That Slip or Shift? Try Dental Implants!
Contact Us

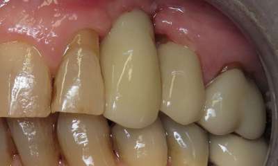
Dental Implant Restoration Anderson SC

Diagram of dental implant post and porcelain crown restorationIf you’re missing teeth, you might feel a little self-conscious about your smile or it could affect your ability to eat and speak. But don’t worry, we’ve got great news! Dental implants could be the game-changer your smile needs. At Waters Family Dentistry, we specialize in dental implant restorations in Anderson, SC, so you can get that perfect final touch to make your new smile feel and look natural.

How Dental Implant Restoration Works

Dental implants permanently replace missing teeth. Unlike traditional dentures or bridges, which sit on top of your gums, dental implants involve a small titanium post surgically placed into your jawbone to replace the root of a missing tooth. Once the bone grows around the implant, our team attaches a custom-made crown, bridge, or denture to restore the visible portion of the tooth.

While we don’t surgically place the implants here at Waters Family Dentistry, we work closely with trusted oral surgeons who perform the implant placement. Once the implant is in place and healed, we focus on the restoration process of crafting and placing the crown or bridge that will bring your smile back to life.

5 Benefits of Dental Implants

At this point, you might be wondering: “What’s so great about dental implants?” Well, there are a lot of advantages! Here are five major benefits of dental implants in Anderson, SC.

Looks and Feels Natural

One of the best things about dental implants is how natural they look and feel. The custom crowns, bridges, or dentures we place on the implant blend perfectly with your other teeth, so no one will notice you’ve had work done.

Improves Speech and Comfort

Missing teeth can make it hard to speak clearly, but dental implants give you a solid foundation for your replacement teeth so you can talk, eat, and laugh without worrying about slipping or discomfort.

Enhances Bite and Function

Since dental implants are anchored into your jawbone, they provide the stability you need for a strong bite. You’ll be able to enjoy all your favorite foods without hesitation—even crunchy apples or chewy steak!

Lasts for Many Years, Even Decades

Dental implants are incredibly durable and can last a lifetime with the right care. Unlike bridges or dentures, which may need replacing over time, dental implants are a long-term, hassle-free option.

Protects Jawbone and Natural Teeth

When you lose a tooth, your jawbone can begin to shrink, which may lead to further tooth loss and facial sagging. Since dental implants stimulate bone growth, they bone loss and keep your facial structure intact.

Frequently Asked Questions

The dental implant procedure is generally well-tolerated by most patients, thanks to modern anesthetic techniques and sedation options. While it's natural to have concerns about pain, most patients report experiencing less discomfort than they initially anticipated.

During the actual implant procedure, you'll be thoroughly numbed with local anesthetic, ensuring you don't feel pain while the dentist works. Many dental practices also offer various sedation options to help anxious patients feel more comfortable and relaxed throughout the procedure. The most common sensation patients report during the procedure is pressure rather than pain.

After the procedure, some degree of discomfort is normal as the anesthetic wears off. Most patients experience mild to moderate soreness for a few days following the surgery, similar to that of a tooth extraction. This post-operative discomfort can typically be managed effectively with over-the-counter pain medications and following your dentist's aftercare instructions. The healing process is generally straightforward, with most patients returning to their normal activities within a day or two.

Call Our Implant Dentist in Anderson, SC 

Your dentist will provide specific instructions for pain management, including when to take medications and how to care for the surgical site. Any significant pain or discomfort that persists beyond the expected recovery period should be reported to your dentist promptly. Call us today for more information. 

Dental insurance plans vary widely, even within the same insurance company. Some plans may offer a percentage of coverage for dental implants in Anderson, SC, or the restoration, and some may offer no coverage at all. Either way, it's important to understand that you will have an out-of-pocket expense for your dental implant. 

At Waters Family Dentistry, our friendly and knowledgeable team can help you navigate your dental insurance benefits and understand which services are and are not covered. It's important to note that anything your dental insurance doesn't cover is your responsibility. We'll create an estimate of your out-of-pocket costs so you can plan your dental treatment within your budget. 

Financing and Payment Options for Dental Implants

Waters Family Dentistry partners with CareCredit to help patients with extensive dental treatments, such as dental implants, break the cost of their treatment into affordable monthly payments. CareCredit even offers interest-free options for well-qualified patients. You can apply online or at our dental office, and you'll receive a prompt decision.  

If you don't have dental insurance, ask our team about the Dental Discount Plan. It's a membership plan that covers the cost of preventive care for patients and offers additional savings on other procedures at Waters Family Dentistry.

Please feel free to contact our team at (864) 226-6278 for additional information about your payment options. 

Many patients are good candidates for dental implants. However, we provide an evaluation to be sure. We’re looking at your jawbone density and (potentially) your sinus placement. You may be an immediate candidate for implant dentistry, require pretreatments, or the dentist may have to recommend an alternative.

Potential pretreatments for dental implants in Anderson, SC, May Include:

  • Jaw Bone Grafting
  • Sinus Lift
  • General Dental Care

The ideal dental implant candidate would be someone who does not smoke. If you smoke, we recommend quitting. However, tobacco use does not necessarily rule you out for dental implants.

The Dental Implant Process

First, the dentist evaluates you. If you’re a candidate for implant dentistry, we then plan your treatment, which includes placing the implant (or implants) into the jawbone using image-guided technology.

After placement, the implant integrates with the jawbone, and we add a crown or prosthetic to complete the work.

Dental implants may be single (one implant and one tooth crown), or the dentist can use up to six implants to secure an arch of replacement teeth to the gum.

Schedule Your Consultation with a Dental Implant Dentist in Anderson

To learn more about our tooth replacement options or to get started, contact a dental team member today.

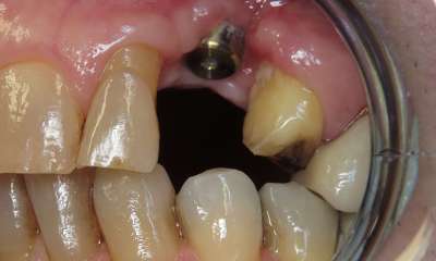
How Do Dental Implants Work?

Step-by-step dental implant placement and restoration processHere’s a quick rundown of the dental implant process:

  • Initial Consultation — First, we’ll take a close look at your oral health and determine if you’re a good candidate for dental implants. We’ll work with an oral surgeon who will perform the surgical placement of the implant.
  • Dental Implant Placement — The oral surgeon places the titanium post into your jawbone. Over the next few months, your jawbone and the implant will fuse together in a process called osseointegration. This gives your new tooth a solid foundation.
  • Restoration — Once the implant is fully healed, we step in to design and place the restoration. This can be a single crown, a bridge, or even a full set of dentures, depending on your needs. Our goal is to make sure your restoration blends seamlessly with your natural teeth, so you can smile with pride!
  • Final Touch — After the restoration is in place, we’ll make sure everything fits comfortably and looks amazing. You’re now ready to show off your new, fully functional smile!

How to Care for Your Dental Implants

Taking care of your dental implants is just like caring for your natural teeth. With proper routine care, you’ll enjoy your new smile for years to come! Here’s what you need to do:

  • Brush and floss daily. — Keep your dental implants sparkling clean by brushing at least twice a day and flossing daily. It’s especially important to clean around the gumline to prevent plaque buildup and gum disease.
  • Schedule regular checkups. — Come in for your regular dental visits so we can monitor your implant restoration and make sure everything is functioning as it should.
  • Protect your smile against teeth grinding. — Do you grind your teeth at night? We can provide you with a custom mouthguard or nightguard to protect your smile. 

Meet Our Dentist:

Dr. John Waters
Dentist

Raised in Iva, SC, Dr. Waters grew up in Anderson County and graduated from Crescent High School. From there, he went to Clemson University and graduated with honors with a BS in civil engineering. After working for a few years as an engineer, he decided to make a career change to help others on a more personal level. After much thought and mentoring from his childhood dentist, he decided that dentistry was the career he was looking for.

Dr. Waters then attended MUSC’s College of Dental Medicine, where he was inducted ...

Transform Your Smile with Dental Implants in Anderson, SC

Dental implants are a game-changing solution for anyone with missing teeth. While we refer out for the surgical placement of the implants, Waters Family Dentistry specializes in the restoration process making sure that your new teeth look amazing and fit comfortably.

If you’re ready to learn more about dental implants and how they can improve your smile, give us a call today

Featured Blog Posts - Dental Implants

November 24, 2025

What to Expect Before, During, and After Dental Implant Surgery

woman smiling while holding her juice

If you have a missing tooth or multiple missing teeth, you know it can make smiling a challenge. Tooth loss can also impact chewing and speech. Over time, you can even develop oral health complications and further tooth loss.

While there are a few tooth replacement options out there, dental ...

October 18, 2025

What to Expect During Dental Implant Recovery

dental implant recovery process in Anderson SC

Among individuals who have suffered from tooth loss, dental implants are the Gold Standard. Of course, their incredible strength, stability, and durability comes with a minor surgical procedure and a commitment on the patient’s part to properly manage the post-op healing process.

The aftermath of dental implant placement requires some ...

July 16, 2025

7 Life-Changing Benefits of Dental Implants

woman carrying her dog

Missing teeth affect your smile, but they also impact your confidence, ability to enjoy favourite foods, and even your facial structure. If you're considering dental implants in Anderson, SC, you're exploring a solution that does more than replace a tooth; it may change your life and positively impact your ...

Dental Implants Can Permanently Restore Your Smile!
Contact Us