Waters Family Dentistry
A Great Dentist

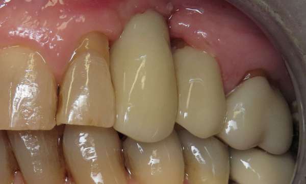
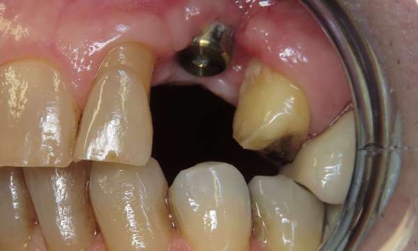
Dental Implant and a Traditional Crown

This patient was unhappy with an empty space in the canine position plus a broken down tooth just behind it.  We placed an implant crown to restore the canine, and a traditional tooth supported crown just behind it.  This filled the space nicely and was accomplished in just two visits.  He was super happy to have his teeth again!  

Service Performed By:

Dr. John Waters
Dr. Waters and staff were more than accommodating and courteous

I went in to Dr. Waters' office to be fitted for a crown for my implant. While there, Dr. Waters suggested he could provide another crown for the adjacent tooth that had broken off awhile ago. I agreed and he proceeded to do both at a single sitting. When I go back in three weeks, I will have two crowns installed which will fill in the gap I had in my upper left jaw. Dr. Waters and staff were more than accommodating and courteous. I don't like going to the dentist, but Dr. Waters is an exception.

 

Not Finding What You Need?
If you have difficulty using our website, please email us or call us at (864) 226-6278
View the ADA Accessibility Statement