Waters Family Dentistry
A Great Dentist

Anterior Composite Bonding

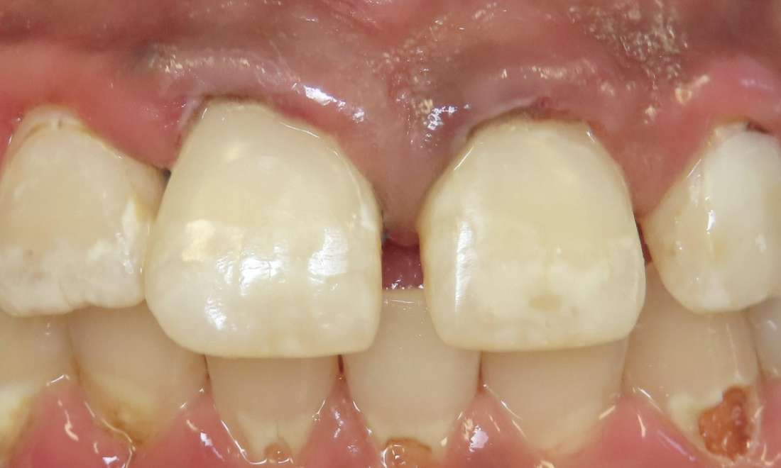
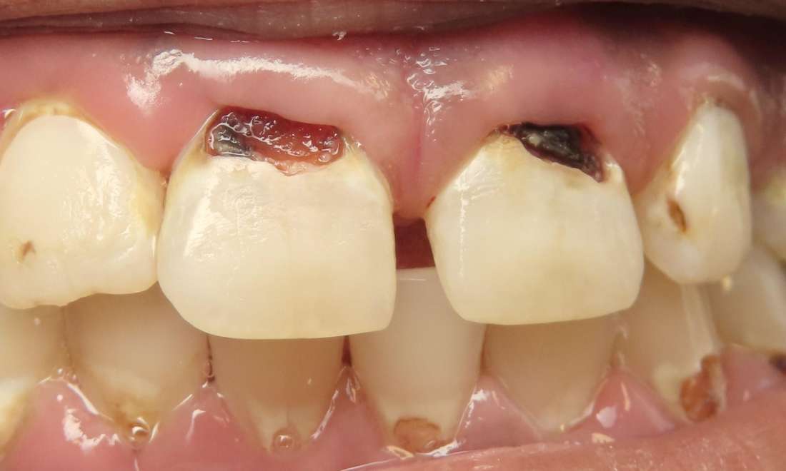
Transforming chipped, uneven, or discolored front teeth has never been easier with anterior composite bonding. This patient had very unsightly cavities on both front teeth. Within about an hour, the cavities were cleaned out and composites were placed. She was so happy with the result. This quick, minimally invasive procedure can give your smile a natural, refreshed look in just one visit. 

Composite Bonding in Anderson, SC

Schedule your consultation today!

Related Services:

Composite Bonding
Have Questions? Get in Touch
If you have difficulty using our website, please email us or call us at (864) 226-6278
View the ADA Accessibility Statement