Waters Family Dentistry
A Great Dentist

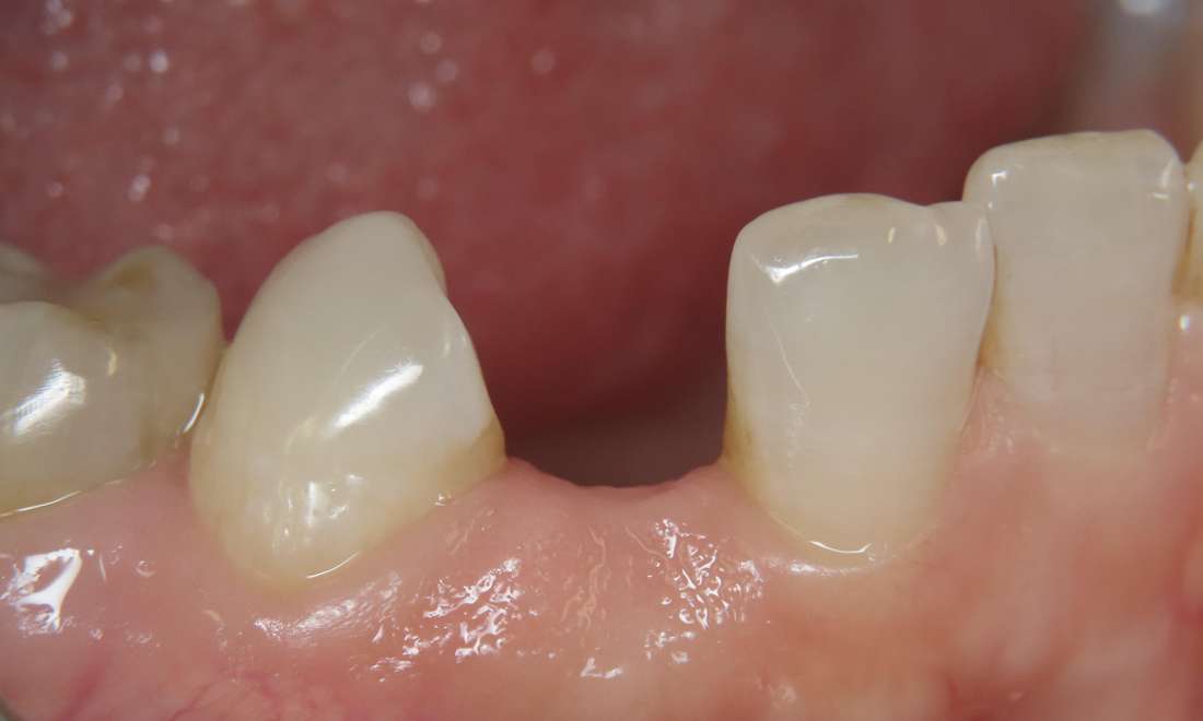
Cantilever Bridge

Replacing a single missing tooth doesn’t have to be complicated. This cantilever bridge (supported on just one tooth) is a testament to how a simple solution can make a big impact. See the results and let us help you explore your options for a complete, beautiful smile.

Dental Bridges in Anderson, SC

Call us to schedule your visit today!

Related Services:

Crowns and Bridges
Ready to Book an Appointment?
If you have difficulty using our website, please email us or call us at (864) 226-6278
View the ADA Accessibility Statement