Waters Family Dentistry
A Great Dentist

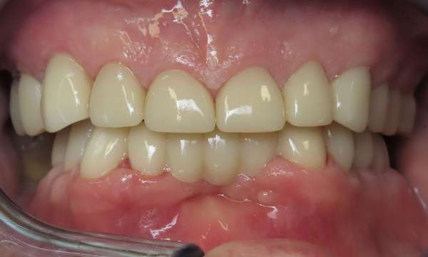
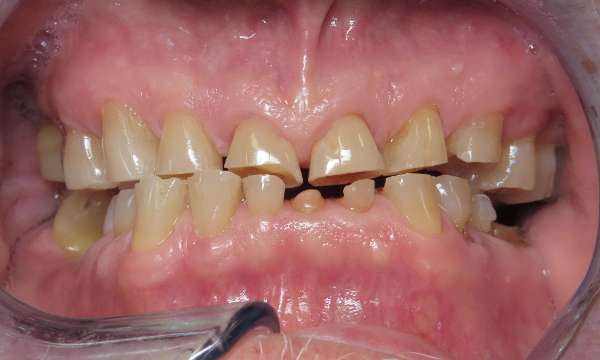
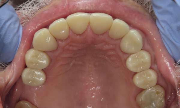
Full Mouth Restoration

This patient had severely worn most of his teeth from many years of clenching and destructive tooth grinding.  We were able to take him from his consultation, to a discussion of his options, to a final result of single crowns on most teeth with a bridge in the lower front.  We were so happy to deliver this result, improving his confidence, function, and quality of life.

Still need an appointment?
If you have difficulty using our website, please email us or call us at (864) 226-6278
View the ADA Accessibility Statement