Waters Family Dentistry
A Great Dentist

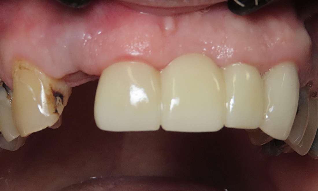
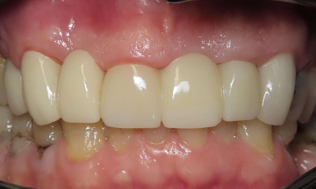
Missing Front Tooth, Restored with a Bridge

Our patient lost a front tooth, and we restored the area with a nice ceramic bridge to restore his smile.  This was a relatively simple fix that made a huge difference in his confidence and function.

Service Performed By:

Dr. John Waters
Ready for Your Next Dental Visit?
If you have difficulty using our website, please email us or call us at (864) 226-6278
View the ADA Accessibility Statement